Kde bolí zánět okostice? Přesná místa bolesti a co s tím dělat

Když se vám při jídle nebo při čištění zubů náhle začne bolet dásen, není to jen nepříjemné - je to varování. Zánět okostice, který lékaři nazývají periodontitida, se neobjeví z ničeho nic. Začíná tiše, často bez bolesti, ale když se rozšíří, bolí přesně tam, kde nečekáte. A to je právě ten problém.

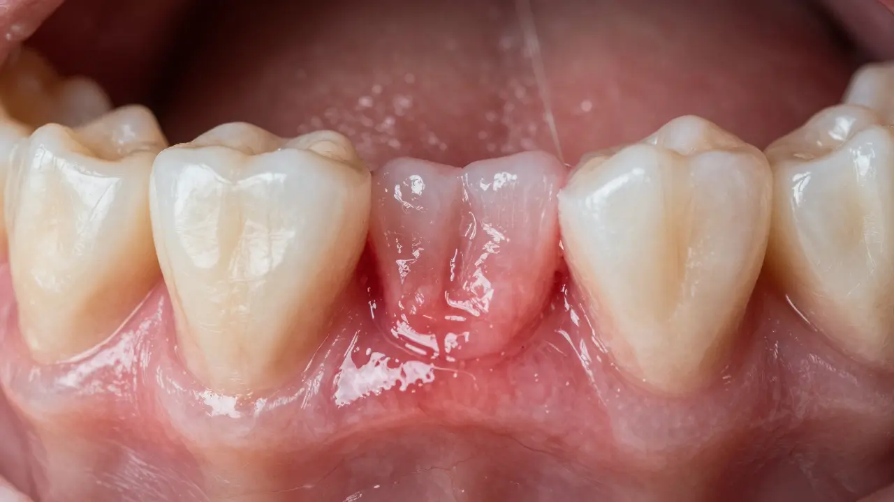
Kde přesně cítíte bolest při zánětu okostice?

Zánět okostice nebolí v celém zubu. Bolí v místě, kde zub vyrůstá z dásně - v tzv. periodontálním pytli. To je mezera mezi zubem a dásní, která se při zánětu rozšíří a naplní bakteriemi. Když se tam hromadí znečištění a zubní kámen, tělo začne reagovat jako na útok - vznikne zánět, oteklina a bolest.

Nejčastěji cítíte bolest:

  • Při doteku - když se dotknete dásně jazykem nebo štětcem
  • Při kousnutí - zvláště u zubů na spodní čelisti, kde je okostice tenčí
  • Při čištění - když čistíte mezery mezi zuby, cítíte ostrou, třesavou bolest
  • Při stisku - když se při smíchání nebo kousnutí zatlačíte prstem na dásen pod zubem

Bolest není v zubním kořeni, ale v okolí. To znamená, že když vás bolí zub, ale nejde to na zubní nerv, nejspíš je to zánět okostice. Mnoho lidí si myslí, že je to jen citlivost zubů, ale citlivost je jiná - je to krátkodobá, ostrá bolest při studeném nebo sladkém. Zánět okostice je hlubší, trvá déle a často je spojen s krvácením dásní.

Proč se to děje právě tam?

Okostice je tenká vrstva kosti, která obklopuje kořen zubu. Je pokrytá dásní a slouží jako základ, který udržuje zub pevně na místě. Když se na zubech hromadí zubní plak a kámen, bakterie pronikají pod dásen a začnou ničit okostici. To je jako kdyby se pod vaším domem začaly rozpadat základy.

Na rozdíl od kávového zubu, kde bolest vychází z nitra, zánět okostice bolí zvenku - z místa, kde zub „sedí“ v dásni. Čím déle to trvá, tím víc se kost rozpadá. A když se kost ztratí, zub se začne hýbat. To už není jen bolest - to je ztráta zubu.

V Brně, kde žiji, vidím každý týden pacienty, kteří si stěžují na „citlivost zubů“ a nevědí, že to je zánět. U jedné ženy to trvalo tři roky - myslela si, že jí zubní pasta nevyhovuje. Až když se podívala na rentgen, zjistila, že má ztracenou 40 % kosti kolem jednoho zubu.

Co se děje v těle, když bolí okostice?

Když se bakterie dostanou pod dásen, tělo pošle bílé krvinky, aby je zničily. To je dobré - ale problém je, že tyto buňky nejen ničí bakterie, ale také rozpadají vlastní tkáně. Vzniká tzv. chronický zánět, který se nezastaví sám. Dásně se začnou odtahovat, vznikají hluboké „pytle“, které se plní hnisem a zápachem.

Bolest je výsledkem tlaku - jak hnis, tak oteklina tlačí na nervy v okolí. A protože okostice je propojená s nervy, které vedou k hlavě, bolest se může šířit do čelisti, ucha nebo dokonce do čela. Mnoho lidí si myslí, že mají zánět ucha, když ve skutečnosti mají zánět okostice.

Průřez čelistí s rozpadající se kostí pod dásní a bakteriálním znečištěním.

Co dělat, když vás bolí dásen?

Nemůžete to ignorovat. Zánět okostice se nevyléčí samovolně. A když to necháte, ztratíte zuby. Nejprve se podívejte na tyto znaky:

  • Dásně krvácí při čištění
  • Dásně jsou červené, oteklé nebo lesklé
  • Zuby se začínají hýbat
  • Máte trvalý zápach z úst, i když čistíte zuby
  • Cítíte bolest při doteku nebo kousnutí

Nejlepší krok je jít k zubnímu lékaři. Ale pokud nemůžete okamžitě, udělejte toto:

  1. Čistěte zuby dvakrát denně - ale ne tvrdým štětcem. Používejte měkký a techniku modified Bass: štětec položte pod úhlem 45 stupňů k dásni a jemně vibrujte.
  2. Používejte zubní nit nebo mezizubní kartáčky denně. Plak se tady neodstraní štětcem.
  3. Polákejte solným roztokem (1 šálek teplé vody + 1 čajová lžička soli) dvakrát denně. Zmenší to oteklinu a zastaví růst bakterií.
  4. Vyhněte se cukru a sladkým nápojům. Cukr je jídlo pro bakterie, které způsobují zánět.
  5. Nepoužívejte antibakteriální ústní vody bez doporučení. Některé z nich poškozují přirozenou mikroflóru a zhoršují stav.

Tyto kroky nevyléčí zánět, ale zpomalí ho. A to je důležité, dokud se nedostanete k lékaři.

Co vám lékař udělá?

Zubní lékař nejprve zkontroluje hloubku pytli pomocí měřicího přístroje. Pokud je hloubka více než 4 mm, je to zánět. Potom udělá rentgen - ukáže, kolik kosti už ztratili.

První krok léčby je odstranění zubního kamene - to se dělá pomocí ultrazvuku nebo ručních nástrojů. To není bolestivé, pokud je zánět v rané fázi. Pokud je zánět pokročilý, může být potřeba skalpelová léčba - lékař otevře dásen, vyčistí kořen a přilepí kostní doplněk.

V některých případech se používá i laserová léčba. V Brně ji už má v nabídce každá druhá klinika. Je méně invazivní a rychleji hojí dásně.

Nezapomeňte: léčba zánětu okostice není jednorázová. Potřebujete pravidelné kontroly každé 3-6 měsíců. Jinak se zánět vrátí.

Metafora ztráty zubu: domov s rozpadajícími se základy jako kost.

Když to necháte, co se stane?

Zánět okostice je nejčastější příčinou ztráty zubů u dospělých. Nejde o náhodné ztráty - jde o pomalý, nezastavitelný proces. Když se kost rozpadne, zub se začne hýbat. Až se začne pohybovat, už ho nejde udržet. Ztratíte ho - a pak se musíte rozhodnout mezi náhradou (most, náhradní zub, implantát) nebo nic.

Nejhorší je, že zánět okostice nejen ničí zuby - může ovlivnit celé tělo. Studie ukazují, že lidé s tímto zánětem mají vyšší riziko srdečních onemocnění, cukrovky a dokonce předčasného porodu. Bakterie z úst se dostanou do krve a šíří se po těle.

Co si pamatovat?

Bolest v dásni není „jen citlivost“. Je to těžké varování. Zánět okostice nevyléčíte doma. Ale můžete ho zastavit - pokud začnete dnes. Nečekejte, až vás zub vypadne. Nečekejte, až bude bolet víc. Základní pravidlo: když dásně krvácí, už je to zánět. A když je to zánět, potřebujete lékaře.

Nejlepší čas na léčbu je vždycky ten, kdy ještě nebolí moc. Když se začnete ptát: „Kde to vlastně bolí?“, už je čas jít.

Je bolest při zánětu okostice stejná jako citlivost zubů?

Ne. Citlivost zubů je krátkodobá, ostrá bolest při teplém, studeném nebo sladkém. Zánět okostice je hlubší, trvá déle a bolí při doteku, kousnutí nebo čištění. Často je spojen s krvácením dásní a zápachem z úst. To jsou dva různé problémy, které vyžadují jinou léčbu.

Může zánět okostice zmizet sám?

Ne. Zánět okostice je chronický proces, který se nezastaví sám. Pokud ho necháte, postupně ničí kost kolem zubu. I když bolest přestane, zánět pokračuje. To je jedna z nejnebezpečnějších vlastností - lidé si myslí, že je všechno v pořádku, když už nebolí. Ale kost už je ztracena.

Jak často bych měl chodit na kontrolu, když jsem měl zánět okostice?

Po léčbě je doporučeno chodit na kontrolu každé 3-6 měsíců. Pokud jste měli pokročilý zánět, může lékař doporučit kontrolu každé 3 měsíce až 2 roky. Pravidelné čištění a kontroly jsou klíč k tomu, aby se zánět nevrátil. Nejde jen o zuby - jde o vaši celkovou zdravotní stabilitu.

Může zánět okostice způsobit bolest v uchu nebo hlavě?

Ano. Když je zánět pokročilý, tlak a hnis mohou ovlivnit nervy, které vedou k uchu, čelu nebo krku. Mnoho lidí si myslí, že mají zánět ucha nebo migrénu, ale bolest vychází z dásně. Pokud máte bolest v uchu a nejsou žádné příznaky nachlazení, zkontrolujte dásně.

Je možné zánět okostice vyléčit bez zubního lékaře?

Ne. Domácí metody - jako solný roztok, zubní nit nebo speciální pasty - mohou zpomalit zánět, ale nevyléčí ho. Zubní kámen a infekce pod dásní lze odstranit pouze pomocí profesionálního vyčištění. Bez toho se kost nezregeneruje. Každá „důmácí léčba“ je jen dočasná úleva, ne řešení.